Сколько живут с опухолью в голове
Сколько живут с опухолью головного мозга?
Опухолям доброкачественного происхождения подвергаются люди, независимо от пола и возраста. Профилактических мер для этой болезни не существует. Главное, это выявление ранних симптомов, после чего начинается комплексное лечение.
Сколько проживет больной при таком диагнозе, зависит от прихода к врачу после появления первых симптомов развития опухоли мозга. Но в начальной стадии болезнь может протекать бессимптомно.
Симптомы опухоли головного мозга
Опухоль может развиваться внутри головного мозга или попасть вместе с метастазами из других органов по кровотоку.
По месту локализации новообразования различают симптомы, характерные для данного типа:
- головная боль, один из первых и очень важных признаков возникновения недуга; боли распирающего характера, появляющиеся в одном месте, чаще ночью, ближе к утру, возникают при малейших движениях;
- головокружение;
- тошнота, чувство тяжести в животе, рвота;
- психические отклонения в поведении, смене настроения, внезапной плаксивости, обидчивости, раздражительности; снижение внимания;
- потеря аппетита, похудение; утомляемость;
- затруднения в речи, забывчивость, подыскивание нужных слов; замедленный темп речи;
- трудность в распознавании предметов;
- нарушенное сознание и восприятия окружающих;
- расстройство в координации движений, шаткая походка;
- паралич какой-либо части тела;
- галлюцинации;
- слуховые и зрительные нарушения;
- расстройства в гормональной системе;
- коматозное состояние.
Диагностика
Наличие опухоли требует подтверждения диагноза для назначения лечения. От этого будет зависеть, сколько проживет больной человек после оперативного лечения.
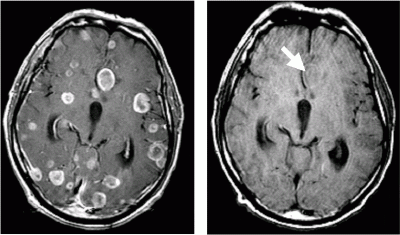
Помимо принятых обследований во время МРТ, КТ, УЗИ, рентгена проводится визуальное обследование глазного дна, состояние кровеносных сосудов проходящих по этому органу. При каких-либо появившихся нарушениях, отмечается потеря остроты зрения, слуха.
КТ головного мозга
Вестибулярный аппарат также страдает, поэтому врач собирает полный анамнез для уточнения диагноза.
Сколько живут с опухолью мозга?
Чаще всего в медицинской практике употребляется понятие пятилетнего рубежа выживаемости. Успешным исходом после операции можно считать, если больные прошли эту отметку. Но есть случаи и гораздо, более длительного жизненного периода.
Любая статистика при определении выживаемости строится на основе развития опухоли в органе.
Стадии развития опухоли:
- I стадия — обращение к врачу при появлении первых признаков заболевания (головной боли, тошноте, изменении походки) даст возможность для проведения операции и удалению новообразования частично или полностью;
- II стадия — прогноз при обращении менее положителен; пораженные клеточные структуры начинают интенсивно делиться, сдавливать соседние ткани. В этом случае, операция может быть уже не такой актуальной. Возраст больного, индивидуальные особенности организма имеет тоже значение. Так, после 65 лет у больных оперированных, прошедших курс лучевой терапии и химиотерапии, процент выживаемости резко снижается;
- III стадия — считается опухоль чаще неоперабельной. Выживаемость редко достигает двухлетнего периода. Рост опухоли стремительно растет. Человек быстро теряет жизненную активность и силы для борьбы с болезнью. Чаще остаются жить несколько месяцев после начала лечения;
- IV стадия — шансы на выздоровление тают с каждым днем. Здесь все зависит от поддержки близких и желания жить самого больного. В общем, при такой стадии, метастазах, поражающих другие органы, жизнь может исчисляться всего несколькими месяцами или очень редко,годами. Но только 5% больных могут пересечь эту границу.
Лечение
Больной помещается в нейрохирургическое отделение, где будет проведена операция по частичному или полному удалению опухоли головного отдела мозга. Если жизни больного угрожает опасность, проводится экстренная внеплановая операция.
Обычно пациенты не ощущают никаких изменений своего состояния. Но метастазирование в область головы может иметь широкий спектр симптомов, в частности:
- сильное или слабое головокружение;
- агрессивные приступы головной боли;
- изменения в восприятии и нарушение когнитивной функции;
- вестибулярные проблемы, что включают тошноту, рвоту;
- длительная или кратковременная потеря памяти;
- повышенное внутричерепное давление;
- парестезия;
- расстройства виденья;
- атаксия и паралич Белла.
Наличие отдаленных метастаз может негативно повлиять на выживаемость.
Признаки
Врачам не всегда удается только по изучению симптомов и жалоб установить наличие метастазов в голове. Поэтому они обращаются к современной технике, позволяющей точно определить окончательный диагноз.
Новаторские методы выявления процесса метастазирования включают:
Сколько на сегодняшний день стоит лечение рака в России?
Вы можете изучить таблицу ориентировочных цен, чтобы оценить сумму финального чека и рассмотреть альтернативные возможности борьбы с заболеванием.

По статистике, за 2017 год в России выявлено 617 177 новых случаев онкологических заболеваний, и около 40% из них требуют немедленного включения в лечебный процесс Читать далее.
- Компьютерная томография может визуализировать даже бессимптомные поражения у больных с экстракраниальными повреждениями (которые находятся на поверхности органа).
- УЗД с использованием тонкоигольной аспирационной техники, в том числе В-режима сонографии с цветовым кодированием, а также дуплексной сонографии и 3D эхографии.
- ФДГ ПЭТ ‒ лучший инструмент для визуализации, если метастазы пошли в голову. Однако он позволяет обнаружить образования только до 1,5 см в диаметре.
- МРТ ‒ золотой стандарт диагностики прогрессивных раковых опухолей в этих областях. В зависимости от вида вторжения, изменяется качество изображения.
Метастазы в костях головы
Вторжение онкологического формирования в череп или височные кости ‒ частое явление, что встречается в 15-25% случаев. Как правило, поражение носит односторонний характер и размещается с одной стороны или между костями двух полушариев. В 5% поражение может быть двусторонним.
Среди клинических проявлений ‒ сжатие мозговых центров и нервов, припадки, ограниченная глазная подвижность, экзофтальм. Визуализационные исследования в 90% позволяют точно выявить вид метастатического вторжения, которое бывает литическим, склеротическим или смешанным.
Лечение больных
Выделяются такие способы управления злокачественным процессом, распространенным с иных органов:
- Максимальная хирургическая резекция с последующей стереотаксической радиохирургией или облучением целой головы. Это превалирующий метод, что обладает хорошими прогностическими данными.
- Лучевая терапия играет важную роль в лечении метастатического заболевания. Она пропагандируется для больных с множественными повреждениями органов, предполагаемой жизненной продолжительностью меньше трех месяцев и низким показателем эффективности Карновского.
- Стереотаксическая радиохирургия рекомендована для ограниченного числа метастазов, чтобы добиться локального контроля над опухолью.
- Химиотерапия используется редко. Однако, некоторые виды опухолей, такие как лимфома, мелкоклеточный рак легких и молочной железы, могут управляться с помощью химиотерапевтических препаратов. Они доставляются инъекциями в спинномозговую жидкость.

Прогноз
Длительность жизни больного при метастазах зависит от типа первичного рака, возраста пациента, числа метастатических очагов, а также конкретного места поражения головы. Если это мозг (включительно с мозжечком и стволом), данные не очень утешительные.
Для всех пациентов с метастазами в головном мозге медиана выживаемости составляет всего 2 – 3 месяца. Тем не менее, у больных моложе 65 лет без экстракраниального расширения и с наличием опухоли только в одном очаге, прогностические данные гораздо лучше. Они указывают на увеличение общей выживаемости до 13,5 месяцев.
Сколько живут такие пациенты?
Без лечения такие пациенты живут менее одного месяца. Больные с несколькими ограниченными метастатическими поражениями головного мозга после хирургической резекции живут, по крайней мере, 3 месяца. Средний период выживаемости составляет один год. Однако, у пациентов с единичными метастазами, данные более оптимистические.
Скелетные вторжения имеют неблагоприятные прогностические данные, что иногда ограничивается несколькими месяцами.
У пациентов с опухолью в иных органах головы (например, ротовой полости, ухе) шансы на длительное выживание немного выше. Средняя продолжительность жизни становит 15 месяцев.
Сколько осталось жить, если диагноз подтвердился?
Вы не уверены в правильности поставленного диагноза и назначенного Вам лечения? Ваши сомнения поможет развеять видеоконсультация специалиста мирового уровня. Это реальная возможность воспользоваться квалифицированной помощью лучших из лучших и при этом ни за что не переплачивать.
К большому сожалению, злокачественная болезнь, что продвинулась в область головы, существенно уменьшает время выживания. На этом этапе врачи часто прибегают не к активной терапии, а к паллиативным методам, которые борются с главными симптомами. К ним относится:
- применение кортикостероидов. Они предотвращают развитие отека тканей и снимают неврологические факторы;
- противосудорожные средства, которые контролируют эпилептические приступы и судороги.
Метастазы в голове ‒ это серьезное осложнение рака, что характеризуется неблагоприятным прогнозом. Однако, технологии лечения развиваются и апробируются новые способы управления болезнью.
Большая Медицинская Энциклопедия, Лечение в Москве

На прогноз могут повлиять многие факторы. Существуют различные типы статистики заболевших раком и различные способы для измерения и регистрации выживания.
Пятилетняя выживаемость людей с опухолью головного мозга
Этот термин используется наиболее часто, когда говорят о прогнозе и выживании:
Он оценивает эффект рака в течение определенного периода — 5 лет. Это число представляет собой долю населения, которые живут еще 5 лет или больше после диагностики рака — независимо от того, излечились ли они полностью или же продолжают все это время бороться с болезнью.
Но это не означает, что человек с определенным типом рака сможет прожить только 5 лет, многие люди живут дольше, особенно если рак обнаружен ичеловек прошел курс лечения на ранней стадии. Выживаемость отличается в зависимости от типа рака.
Необходимо помнить, что статистика выживаемости рака :
— носит общий характер,
— может значительно изменяться в зависимости от стадии заболевания,
— основана на большом количестве людей, больных раком и невозможно точно предсказать, что произойдет с конкретным человеком,
— основана на данных, которые могут быть устаревшими на несколько лет, что не отражает влияние последних достижений в области ранней диагностики и новых методов лечения,
— не обязательно отражает наличие других заболеваний и индивидуальные реакции на лечение.
Для жителей Москвы и Московской области диагностика и лечение опухолей в Москве можно заказать, заполнив в правом нижнем углу сайта заявку.
Прогноз при раке мозга
Больные раком должны обсудить протекание и прогноз со своим лечащим врачом. Прогноз зависит от многих факторов, в частности:
— истории болезни человека,
— типа рака,
— этапа рака,
— характеристики рака,
— подтипа рака,
— результаты ткани или клеток (гистологии),
— размер опухоли,
— расположение рака.
Только врач является единственным человеком, способным ответить на все эти вопросы.
Рак, который распространился на лимфатические узлы или имеет отдаленное расположение, обычно вызывает менее благоприятный прогноз, чем рак, который легко поддается лечению и его удаление не проблематично.
Помимо вышеперечисленных, на прогноз влияют и другие факторы:
— возраст и пол человека,
— общее здоровье человека,
— наличие других болезней,
— наличие специфических, связанных с раком симптомов:
— потеря в весе
— боль
— отек (отек)
— лихорадка
— раковые характеристики:
— глубина метастазирования,
— модель роста опухоли,
— тип метастазов (рак распространяется по нервным, кровеносным или лимфатическим сосудам),
— наличие или отсутствие опухолевых маркеров,
— наличие аномальных хромосом,
— способность продолжать свою повседневную деятельность (ЭГ).
Благоприятные прогностические факторы могут положительно повлиять на исход заболевания. Неблагоприятные прогностические факторы могут оказать негативное влияние на результат. В общем, если рак обнаружен на ранней стадии и его лечение является незамедлительным, прогноз будет самым благоприятным. Но надо помнить, что рак не всегда реагирует на лечение так, как нам бы того хотелось. Вот почему точно ответить на вопрос о том, сколько живут с раком головного мозга, невозможно. Прогноз также может меняться с течением времени. Стадии рака мозга классифицируются по нескольким общепринятым формулам, среди которых занимает одну из ведущих класификаций по типам.
Пятилетняя относительная выживаемость:
- Фибриллярная (диффузная) астроцитома:
— Люди в возрасте 22-44 года — выживаемость составляет примерно 65%
— Люди в возрасте 45-54 года — выживаемость составляет примерно 43%
— Люди в возрасте 55-64 года — выживаемость составляет примерно 21%
- Анапластическая астроцитома:
— Люди в возрасте 22-44 года — выживаемость составляет примерно 49%
— Люди в возрасте 45-54 года — выживаемость составляет примерно 29%
— Люди в возрасте 55-64 года — выживаемость составляет примерно 10%
- Глиобластиома:
— Люди в возрасте 22-44 года — выживаемость составляет примерно 17%
— Люди в возрасте 45-54 года — выживаемость составляет примерно 6%
— Люди в возрасте 55-64 года — выживаемость составляет примерно 4%
- Олигодендроглиома:
— Люди в возрасте 22-44 года — выживаемость составляет примерно 85%
— Люди в возрасте 45-54 года — выживаемость составляет примерно 79%
— Люди в возрасте 55-64 года — выживаемость составляет примерно 64%
- Анапластическая олигодендроглиома:
— Люди в возрасте 22-44 года — выживаемость составляет примерно 67%
— Люди в возрасте 45-54 года — выживаемость составляет примерно 55%
— Люди в возрасте 55-64 года — выживаемость составляет примерно 38%
- Эпендимома/анапластическая эпендимома
— Люди в возрасте 22-44 года — выживаемость составляет примерно 91%
— Люди в возрасте 45-54 года — выживаемость составляет примерно 86%
— Люди в возрасте 55-64 года — выживаемость составляет примерно 85%
- Менингиома
— Люди в возрасте 22-44 года — выживаемость составляет примерно 92%
— Люди в возрасте 45-54 года — выживаемость составляет примерно 77%
— Люди в возрасте 55-64 года — выживаемость составляет примерно 67%
Как протекает опухоль головного мозга
Cколько человек может прожить с опухолью в голове? К сожалению, очень трудно ответить на этот вопрос. Все зависит напрямую от типа опухоли, ее развития, поэтому в каждом конкретном случае это трудно обобщать. Опухоль головного мозга будет иметь различные симптомы в зависимости от того, где она находятся в вашем мозге. Чтобы узнать больше, обсудите это с вашим врачом.
Существует ряд признаков, которые являются общими для большинства растущих опухолей головного мозга. После того, как опухоль головного мозга достигает критического размера и ее рост не может быть замедлен с помощью лечения, повышается давление внутри головы, что начинает вызывать головные боли, головокружение и сонливость.
При опухоли мозга больной все время спит
Вначале эти симптомы можно будет контролировать, увеличивая дозы стероидов. Но в конце концов, стероиды не смогут уменьшать отек дальше. Для этих случаев надо иметь обезболивающие и лекарственные средства для контроля болезни. Больной становится более и более сонливым. Это часто приходит медленно, но близкие обращают на это внимание. Это может продолжаться довольно долго. На этом этапе многие люди могут вести относительно нормальной жизни, хотя им нужно больше сна, чем это было раньше.
Со временем становиться все более и более трудно разбудить больного. В конце концов большинство людей начинают спать практически все время, проваливаясь словно в беспамятство. Таким образом последние дни или даже недели перед смертью человек находится без сознания и не понимает происходящего.